Not sure we understand this, but we’re in it.
![]() |
| #NephMadness Click to participate; watch 1 min explanation video |
4 History contenders – we have 4 history topics in two pairs, up against each other till we end up with one to go through to compete with the others. You have to vote; then after that, for the history topic vs. the others. More info and how to.
Inventions of Maintenance HD, vs. Transplantation
![]() |
| Ray Jones began treatment in 1963 |
Imagine it’s 1963 and you have end stage renal failure. Nobody knows whether there is any long term hope for Scribner’s crazy maintenance haemodialysis initiative in Seattle. He is using machines intended for acute use to prolong lives of those with ESRD. But most centres still don’t even have machines for acute renal failure. The treatment is complex and expensive. Intermittent peritoneal dialysis, every few weeks or months, is a short term holding option used by some – but holding to wait for what miracle?
First maintenance haemodialysis | Home HD | The record holders
![]() |
| First successful use of azathioprine |
And in 1963 transplantation is not better – azathioprine was first used in 1962, and 50% survival to 1 year wasn’t reported till 1965, after probably hundreds of deaths. Failures generally did not return to the very limited dialysis programmes. 10 year survival passed 50% only 20 years later.
First transplants | Transplantation takes off
It’s amazing that in less than a decade, both transplantation and dialysis had matured to the point of acceptance.
But which was more important to where we are now? Read more at the AJKD Nephmadness blog. Then vote here (hover over titles for more info).
Dipsticks vs. Renal biopsy
![]() |
| Oliver’s test papers 1895 |
Dipsticks: proteinuria was pinned on the kidneys by Richard Bright 190 years ago, and testing for it became a major medical activity almost straight away. It still is! And it is important in indicating cardiovascular risk, and risk of mortality, as well as risk of worsening renal disease.
Invention of the dipstick | Proteinuria | Richard Bright
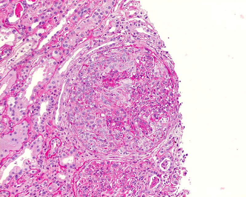
Renal biopsies on the other hand are only 60 years old; but the development of immunofluorescence and electron microscopy in the 1960s led to a flowering of disease descriptions and understanding – and occasionally, treatments.
![]() |
| Renal biopsy |
The invention of the renal biopsy
Dipsticks – tool for the world, and invaluable in identifying kidney disease. Biopsies – for characterising it; can you imagine nephrology without it?
So, which was more important to nephrology and the world? Read more at the AJKD Nephmadness blog. Then vote (hover over titles for more info).





